Bist du eine Koralle?

Muschel

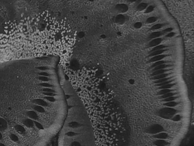
Bist du eine Koralle? Oder welches Unterwasser Lebewesen versteckt sich hinter diesem Rätselbild? Es ist wieder Samstag und wir suchen einen neuen Meerespezialisten.

Heute ist ein besonderer Tag, denn morgen Früh wird der Meeresspezialisten Topf wieder kräftig gemischt und wir ziehen einen neuen Gewinner. Also, macht heute nochmal mit und erhöht eure Chancen auf einen attraktiven Gewinn.

Spielregeln:

– Wir zeigen euch jeden Samstag einen Ausschnitt von einem Unterwasser Lebewesen des Roten Meeres und ihr müsst erraten, um was es sich handelt.

– Habt ihr das Lebewesen erkannt, so gebt euren Tipp unter diesem Beitrag (NUR unter diesem Beitrag, nicht auf Facebook etc.) ab. Wir benötigen den kompletten Fischnamen inkl. dem lateinischen Namen. 

Beispiel: Gelbflecken-Makrele – Carangoides fulvoguttatus

In diesem Beispiel würde also nur der eingereichte Fischname „Makrele“ nicht gelten!!

– Alle richtig eingereichten Lösungen kommen in einen großen Meeresspezialisten Topf. Einmal im Monat werden wir dann einen Gewinner ziehen, auf den ein taucherischer Gewinn wartet. Was es genau zu gewinnen gibt, das bleibt eine Überraschung. ?

– Das Rätsel selbst lösen wir einen Tag später im gleichen Beitrag auf und wir geben auch bekannt welche Namen den Weg in den Meeresspezialisten Topf gefunden haben.

– Eure erste Einsendung zählt.

– Einsendeschluss ist morgen früh Sonntag, der 9.10.2016, 9 Uhr.

Viel Erfolg wünscht euch euer Blue Water Dive Resort Team!


Auflösung:

Tridacna-Maxima

Wow! Wieder so viele richtige Einsendungen: Richtig! Hier handelt es sich um:

Riesen Mördermuschel / Riesenmuschel / Mördermuschel – Tridacna maxima (Hier findet man in der Literatur mehrere Bezeichnungen, somit gelten alle 3)

Demnach gewonnen haben:

Johnny und Astrid, Jörg, Lutz Trümpler, Kai, Silvia, Brita, Jörg F., Sara, Lucienne Preißler, Jens, Katrin

Herzlichen Glückwunsch!

Und jetzt werden wir den großen Topf kräftig mischen und den zweiten Meeresspezialisten ziehen:

TROMMEL WIRBEL Der zweite Meeresspezialist ist: Niki Vecsei

Rätsel

Du erhälst einen Shop Gutschein über 10 Euro. Der Gutschein wird dir per Email zugesandt.

Nicht gewonnen? Kein Problem, denn am kommenden Samstag geht es schon wieder weiter….

11 Kommentare zu "Bist du eine Koralle?"

Schreibe einen Kommentar

Registriere deine E-Mail bei Gravatar.com für ein Bild neben deinem Kommentar.